¿Qué es la glándula pineal?
"
La glándula pineal es un centro de poder superior, asociado al tercer ojo, la visión del Cíclope, el ojo Horus, el poder de Dios. Biológicamente, en su condición de glándula, secreta la melatonina. El método de activación de la glándula pineal aquí propuesto es, sin lugar a dudas, una herramienta vanguardista: Ciencia y Espíritu se unen para permitir al ser humano ir más allá de ese apenas 10% en que utiliza su capacidad cerebral", promueve el libro El cielo está abierto de Fresia Castro.
Así es como ha comenzado a aparecer todo tipo de actividades relacionadas con los beneficios que ofrece la glándula pineal. Entre ellos se dice que favorece la regeneración celular, la regulación del sueño, la disminución del estrés y la cura de enfermedades como el cáncer, cardiopatías, SIDA y Alzheimer.
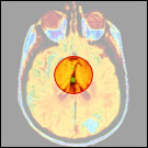
Pero, ¿qué es y qué puede hacer realmente? "La glándula pineal o epífisis es una estructura ubicada en la parte posterior de la base del cerebro que tiene el tamaño de un poroto, pesa 130 mg. y está encargada de producir la hormona melatonina", explica el doctor Miguel Domínguez, endocrinólogo de Clínica Alemana.
La epífisis está formada por fibras nerviosas simpáticas que transmiten la información lumínica captada por la retina. Ella se activa y fabrica la melatonina cuando no hay luz, de ahí que tenga sentido la idea de llamarla tercer ojo, aunque esa denominación también se debe a que se cree que en los ancestros de los vertebrados esta glándula formaba un ojo que complementaba a los otros dos, de hecho algunos reptiles presentan un pequeño ojo dorsal medial.
De acuerdo al doctor Domínguez, la luz es tan preponderante que los ciegos producen esta hormona todo el día. "La melatonina actúa regulando las actividades del organismo relacionadas con el ciclo día-noche".
Contra e
l jet lag
Las propiedades que se le asignan tienen asidero en los supuestos mecanismos vinculados a la acción de esta hormona, pero de acuerdo al endocrinólogo, "nada ha sido científicamente probado. Sólo se ha comprobado que ingerir melatonina sirve para el jet-lag" (síndrome que sufren personas que recorren en avión varias zonas horarias).
Se dice que además de regular aspectos asociados al día-noche, como la temperatura corporal, y de las estaciones del año, como ciclos hormonales relacionados con la reproducción, la melatonina es un poderoso antioxidante, que protege a las células frente al daño causado por los radicales libres, inhibe la síntesis de ADN en determinadas células tumorales y la muerte celular (apoptosis) en el timo, glándula encargada de las defensas. Sus niveles de producción disminuirían con la edad. Por lo tanto, tendría propiedades antienvejecimiento y anticancerígenas.
Al contrario, el doctor Domínguez sostiene que se ha visto que la melatonina en dosis altas tiene un efecto productor de tumores.
Por otro lado, se explica el desánimo característico del invierno por la alta secreción de la melatonina, porque ésta se elabora en base a la serotonina y al disminuir sus niveles cerebrales, se afectaría el estado de ánimo. Incluso se afirma que bastarían dos semanas de insuficiencia de luz en individuos predispuestos, para reducir tanto los niveles de serotonina, que se produce una depresión.
Según el especialista, lo que sí está claro es que hasta ahora sólo se sabe que el único elemento que activa la glándula pineal es la oscuridad. Entonces una terapia solamente podría ir dirigida en ese sentido. "Quizás unos ejercicios especiales pueden relajar y hacer sentir bien, pero ¿activar la glándula?, no está probado".
De todos modos, el doctor Domínguez otorga el beneficio de la duda a las propiedades que se le asignan a la melatonina: "Por ahora sabemos que modifica poco la salud humana, pero a lo mejor después nos damos cuenta de otras características".